Check out our gallery of before and after pictures to see how we can help you!
Before
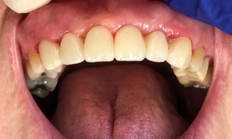
After
Bridge Placement
Patient presented with multiple decayed and broken down anterior teeth. After extracting non-restorable teeth, patient healed for a few weeks. Once healed, final bridge preparation was performed and bridge was placed. Patient was very happy with the outcome!