Skip to main content
Dental Crowns and Bridges
We Restore Broken and Missing Teeth

When a tooth is lost or becomes too damaged, we recommend dental crowns and bridges so you can smile confidently again.

Dental Crowns and Bridges | Dentist
Dental Crowns and Bridges Restore Your Smile
Schedule an Appointment

Dental Crowns and Bridges

Dental crowns and bridges are commonly-used restorations that protect and strengthen a weak, damaged, or decayed tooth. Both will improve your oral health and your smile's appearance while restoring chewing function so you can eat your favorite foods comfortably. 

Dr. Andrew Katerakis uses high-quality, aesthetic materials like zirconia and carefully crafts crowns and bridges to look like real teeth. 

When Is a Dental Crown the Right Solution?

Our dentist in Troy, OH, recommends a crown when a damaged tooth can no longer withstand normal chewing forces. Here are some situations where a crown is an appropriate choice:

  • Extensive decay — When a tooth has extensive decay, it becomes too weak to support a filling. In this case, we remove the decay, fill the tooth, and cover it with a crown for strength and protection. 
  • Existing large filling — A filling that takes up more than half of a tooth doesn't leave enough structure to withstand chewing forces. A dental crown protects the tooth and extends its lifespan to give many more years of chewing function.
  • Cracked tooth — If a crack damages the outer layer of enamel, our dentist would recommend a crown to prevent the crack from spreading and provide a new protective outer surface. 
  • Root canal treatment — During root canal treatment, our dentist removes infected dental pulp, including nerves and blood vessels. Over time, the tooth becomes brittle and prone to cracking, so we often recommend a dental crown to protect it.
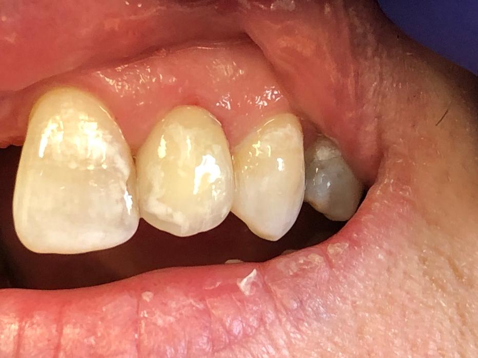
    The middle tooth is a crown Dr. K prepped and placed.

Getting a Dental Crown

Getting a dental crown involves several steps and requires two visits to complete. At the first visit, Dr. Katerakis reshapes the tooth to prepare it to receive the crown, ensuring the crown looks natural sitting along the gumline. 

Next, we take impressions of the prepared tooth to create a model that a custom lab uses to fabricate the crown. A shade guide helps us match the white color of the crown to the surrounding teeth for a natural appearance. We also protect the tooth with a temporary crown while the dental lab prepares the final crown.

When we receive the final crown, we schedule another appointment to adjust it for proper fit and comfort and bond it securely to the tooth.

Dental Bridges Replace Missing Teeth

A dental bridge replaces one or two missing teeth, where adjacent teeth are strong enough to support a crown. The bridge consists of a crown bonded to teeth on either side of the gap—and a natural-looking artificial tooth called a pontic that sits in the gap. 

The benefit of a dental bridge is that it restores chewing function, and there's no long wait involved as there is with an implant.

The process for getting a dental bridge is similar to that of a dental crown and requires two appointments.

High-Quality Dental Crowns and Bridges in Troy, OH

A beautiful, natural-looking crown or bridge can restore your smile and provide ten years or more of use with the proper care and preventive dentistry measures. Please call Dr. Andrew Katerakis at our Troy, OH, dental office to schedule an appointment and get started.

 

Meet Our Doctor:

Dr. Andrew Katerakis

Dr. Andrew Katerakis completed his undergraduate studies at Miami University and his Doctor of Dental Surgery degree at The Ohio State University College of Dentistry. He continued his dental education by completing a General Practice Residency at Hackensack University Medical Center in Hackensack, New Jersey, and an Oral and Maxillofacial Surgery Internship at the Medical College of Wisconsin in Milwaukee, Wisconsin. 

In 2018, Dr. Katerakis purchased the general dentistry practice of Dr. James Sims in Troy, who he considers to be his dental mentor. After moving back ...

We Repair Broken and Missing Teeth in Troy, OH
Get Started!